¿Te has preguntado por qué hay mayor frecuencia de migrañas durante el periodo menstrual? En esta entrada se analiza las diferencias entre episodios, y se platica sobre el por qué del incremento y qué se puede hacer durante estos días.
Archivo de categoría: Neurología
Del sueño de jugar en la NBA a luchar por recuperar su movilidad
Kris Wilkes, del sueño de jugar en la NBA a luchar con una extraña enfermedad para recuperar su movilidad.
Neuralgia Trigeminal: ¿Es lo mismo que dolor facial?
El dolor facial tiene múltiples causas. Sin embargo, cuando la causa es por afectación del nervio trigeminal (también conocido como el 5to nervio craneal) se llama Neuralgia Trigeminal (NT). La neuralgia trigeminal causa episodios breves, intensos, severos y usualmente se limitan a la mitad de la cara, cerca de la mandíbula o área ocular. SeSigue leyendo «Neuralgia Trigeminal: ¿Es lo mismo que dolor facial?»
Neuropatía Diabética
Aproximadamente el 50% de los pacientes con Diabetes desarrollan algún tipo de neuropatía. ¿Qué es la neuropatía diabética? Es un grupo de trastornos de nervios que puede provocar adormecimiento y dolor. Puede afectar múltiples nervios del cuerpo entre ellos: pies, piernas, brazos, y algunos órganos como el corazón, sistema digestivo y genitales. Puede existir afectaciónSigue leyendo «Neuropatía Diabética»
¿Conoces el Síndrome de Piernas Inquietas?
¿Sabes qué es el Síndrome de Piernas Inquietas?
Conoce sus síntomas, diagnóstico y tratamiento.
Cuidados Paliativos en Enfermedad de Parkinson
¿Qué son los cuidados paliativos? Los cuidados paliativos es un abordaje de cuidado a los pacientes que involucra la evaluación del estado físico, emocional, funcional y espiritual. Ayuda a las personas afectadas y a sus familiares el entender su diagnóstico y como les afecta actualmente y en el futuro. Ayuda a clarificar las metas deSigue leyendo «Cuidados Paliativos en Enfermedad de Parkinson»
21 de Septiembre: Día Internacional de la Enfermedad de Alzheimer
21 de Septiembre: Día internacional de la Enfermedad de Alzheimer, conoce los signos y síntomas iniciales y tardíos.
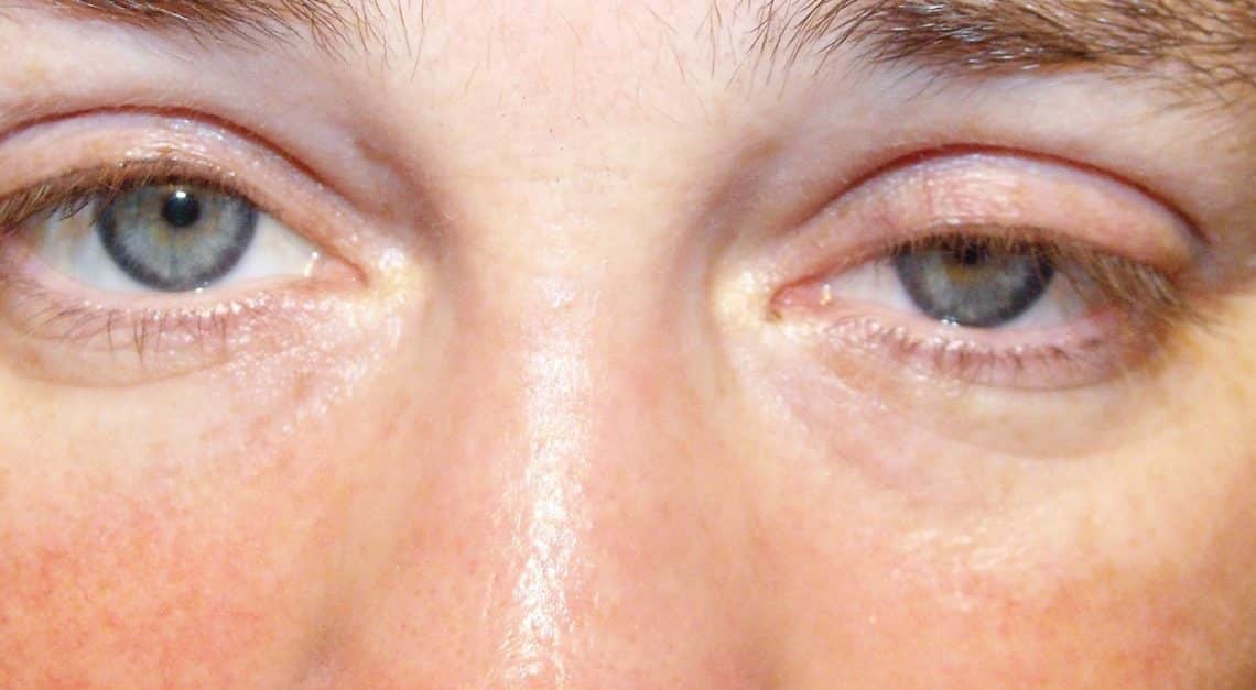
Miastenia Gravis, ¿Qué es? y ¿Qué síntomas tiene?
La Miastenia Gravis es una enfermedad rara, autoinmune que puede provocar debilidad fluctuante, caída del párpado, visión doble, dificultad para hablar y deglutir, entre otras.
Tengo Insomnio: ¿Qué debo hacer?
Tengo Insomnio, ¿Qué debo hacer?. Existen algunas intervenciones indicadas que son más seguras que otras, y debe siempre establecerse el tiempo de intervención.
Temblor esencial: No todo el temblor es Parkinson
¿Qué es el Temblor y qué es el Temblor Esencial? El temblor es un movimiento rítmico de alguna parte del cuerpo con un movimiento bi-direccional. Las personas que experimentan el temblor son incapaces de controlar el movimiento. Hay distintos tipos de temblor, y pueden ocurrir en distintos escenarios. Un escenario es que ocurra en “reposo”,Sigue leyendo «Temblor esencial: No todo el temblor es Parkinson»
